V ceně
- Vstupní anamnéza a vyšetření stavu zubů a dásní
- Obarvení zubního plaku detektorem (volitelné)
- Odstranění zubního kamene ultrazvukem
- Jemné ruční dočištění
- Antibakteriální výplach (volitelné)
- Ošetření moderním přístrojem
- Pískování AirFlow
- Fluoridace (remineralizační kúra)
- Instruktáž správné techniky čištění
- Doporučení vhodných pomůcek (kartáčky, mezizubní kartáčky, pasta)
- Konzultace domácí péče a případného dalšího postupu
Délka návštěvy: cca 45 minut (dle stavu chrupu)
Kdy se můžete stavit
Platnost do 31. 7. 2026.
Omezení
- Pro děti do 11 let za doprovodu zákonného zástupce.
- Voucher lze využít pouze u dentální hygienistky Venduly Garncarzové.
Jak uplatnit
- Rezervace: Po zakoupení voucheru je třeba zarezervovat si termín na tel. čísle. 604 113 046
- Stačí se prokázat platným voucherem v mobilním telefonu nebo v SMS.
Storno podmínky
- Rezervaci můžete změnit 48 hodin před rezervovaným termínem. V případě změny rezervace méně než 48 hodin před domluveným termínem, nebo v případě, že se na termín nedostavíte, voucher propadá v plné výši bez nároku na refundaci. Termín lze změnit pouze jednou.
- Voucher s rezervovaným termínem není možné stornovat ani refundovat.
- Voucher bez termínu můžete stornovat v rámci zákonné 14denní lhůty, nebo po skončení platnosti voucheru refundovat podle platných pravidel.
Kontraindikace
Obecné kontraindikace – týkají se celkového zdravotního stavu pacienta
- Kardiostimulátor nebo defibrilátor – ultrazvukový přístroj může interferovat, nutné používat speciální typ ultrazvuku nebo zvolit ruční nástroje.
- Infekční onemocnění v akutní fázi – např. chřipka, angína, COVID-19 (riziko přenosu kapénkami a aerosolem).
- Nekompenzovaná cukrovka – vyšší riziko infekce a horší hojení, ošetření se musí přizpůsobit.
- Imunosuprese (např. po transplantacích, chemoterapii, HIV/AIDS) – nutná opatrnost, někdy odklad ošetření.
Kontraindikace k použití ultrazvuku
Pacienti s pacemakerem či kardiostimulátorem, pokud není povoleno použití ultrazvuku konkrétního typu.
Kontraindikace k použití AirFlow (pískování práškem)
- Chronická onemocnění dýchacích cest (astma, CHOPN) – inhalace prášku může vyvolat zhoršení stavu.
- Alergie na prášek (např. glycin, erythritol, soda, ovocné příchutě).
- Otevřené rány v dutině ústní nebo po chirurgickém zákroku.
- Onkologičtí pacienti v aktivní léčbě – kvůli oslabení sliznic a vyššímu riziku infekce.
Kontraindikace k použití fluoridace/gelů/laků
- Alergie na fluor nebo přísady v laku/gelu.
- Děti, které neumí vyplivovat – riziko spolknutí větší dávky.
Shrnutí pro pacienty
- Před dentální hygienou vyplňujeme anamnézu, abychom zjistili váš zdravotní stav.
- Podle toho volíme metody – někdy se používá jen ultrazvuk, jindy pouze ruční nástroje nebo AirFlow.
- Naším cílem je ošetření přizpůsobit vám na míru tak, aby bylo účinné a zároveň bezpečné.
Benefity
Využijte body ze zaměstnaneckých programů. Na tuto nabídku můžete využít body těchto benefitních společností:
Využijete pro:
Volný čas (Benefity Premium)
Volný čas (Edenred Benefits)
Volný čas FKSP (Edenred Benefits)
Jak funguje převod benefitních bodů?
V ceně
- Vstupní anamnéza a vyšetření stavu zubů a dásní
- Obarvení zubního plaku detektorem (volitelné)
- Odstranění zubního kamene ultrazvukem
- Jemné ruční dočištění
- Antibakteriální výplach (volitelné)
- Ošetření moderním přístrojem
- Pískování AirFlow
- Fluoridace (remineralizační kúra)
- Instruktáž správné techniky čištění
- Doporučení vhodných pomůcek (kartáčky, mezizubní kartáčky, pasta)
- Konzultace domácí péče a případného dalšího postupu
Délka návštěvy: cca 45 až 60 minut (dle stavu chrupu)
Kdy se můžete stavit
Platnost do 31. 7. 2026.
Omezení
Voucher lze využít pouze u dentální hygienistky Venduly Garncarzové.
Jak uplatnit
- Rezervace: Po zakoupení voucheru je třeba zarezervovat si termín na tel. čísle. 604 113 046
- Stačí se prokázat platným voucherem v mobilním telefonu nebo v SMS.
Storno podmínky
- Rezervaci můžete změnit 48 hodin před rezervovaným termínem. V případě změny rezervace méně než 48 hodin před domluveným termínem, nebo v případě, že se na termín nedostavíte, voucher propadá v plné výši bez nároku na refundaci. Termín lze změnit pouze jednou.
- Voucher s rezervovaným termínem není možné stornovat ani refundovat.
- Voucher bez termínu můžete stornovat v rámci zákonné 14denní lhůty, nebo po skončení platnosti voucheru refundovat podle platných pravidel.
Kontraindikace
Obecné kontraindikace – týkají se celkového zdravotního stavu pacienta
- Kardiostimulátor nebo defibrilátor – ultrazvukový přístroj může interferovat, nutné používat speciální typ ultrazvuku nebo zvolit ruční nástroje.
- Infekční onemocnění v akutní fázi – např. chřipka, angína, COVID-19 (riziko přenosu kapénkami a aerosolem).
- Nekompenzovaná cukrovka – vyšší riziko infekce a horší hojení, ošetření se musí přizpůsobit.
- Imunosuprese (např. po transplantacích, chemoterapii, HIV/AIDS) – nutná opatrnost, někdy odklad ošetření.
Kontraindikace k použití ultrazvuku
Pacienti s pacemakerem či kardiostimulátorem, pokud není povoleno použití ultrazvuku konkrétního typu.
Kontraindikace k použití AirFlow (pískování práškem)
- Chronická onemocnění dýchacích cest (astma, CHOPN) – inhalace prášku může vyvolat zhoršení stavu.
- Alergie na prášek (např. glycin, erythritol, soda, ovocné příchutě).
- Otevřené rány v dutině ústní nebo po chirurgickém zákroku.
- Onkologičtí pacienti v aktivní léčbě – kvůli oslabení sliznic a vyššímu riziku infekce.
Kontraindikace k použití fluoridace/gelů/laků
- Alergie na fluor nebo přísady v laku/gelu.
- Děti, které neumí vyplivovat – riziko spolknutí větší dávky.
Shrnutí pro pacienty
- Před dentální hygienou vyplňujeme anamnézu, abychom zjistili váš zdravotní stav.
- Podle toho volíme metody – někdy se používá jen ultrazvuk, jindy pouze ruční nástroje nebo AirFlow.
- Naším cílem je ošetření přizpůsobit vám na míru tak, aby bylo účinné a zároveň bezpečné.
Benefity
Využijte body ze zaměstnaneckých programů. Na tuto nabídku můžete využít body těchto benefitních společností:
Využijete pro:
Volný čas (Benefity Premium)
Volný čas (Edenred Benefits)
Volný čas FKSP (Edenred Benefits)
Jak funguje převod benefitních bodů?
Nejen šaty dělají člověka, ale také zdravý a zářivý úsměv!
Ale jak na něj? Přece návštěvou dentální hygienistky v ordinaci Sanident, po které budou vaše zuby hladší, zářivější a také chráněné před vznikem kazů (díky fluoridaci).
Dobré vědět: Ordinaci najdete cca 4 minuty chůze od zastávky Hutmanka.
Pískování, fluoridace i správná technika čištění
V nabídce najdete variantu ošetření jak pro děti, tak pro dospělé. Ať už máte doma 6letého prcka, nebo 13letého puberťáka, věřte, že dentální hygienu ocení chrup obou. S nácvikem správného čištění je totiž vhodné začít již od školkového věku.
Dobré vědět: Ošetření je vhodné i pro nositele rovnátek.
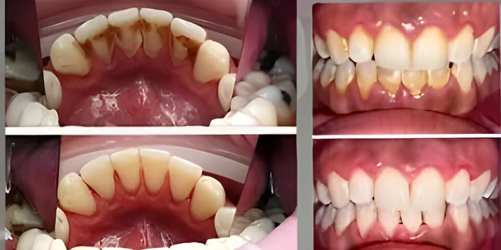
A co všechno vás (nebo vaši ratolest) během návštěvy čeká? Nejprve s vámi hygienistka projde vstupní anamnézu a zuby i dásně vyšetří, aby zjistila jejich výchozí stav. Následně (budete-li chtít) použije detektor k obarvení zubního plaku – budete tak vědět, která místa se vám nedaří dostatečně čistit a kde je tedy potřeba techniku vylepšit.
Poté už přichází na řadu odstranění zubního kamene ultrazvukem, jemné ruční dočištění a pískování neboli airflow. To probíhá pomocí směsi vody, vzduchu a jemného prášku, který se postará o odstranění plaku a pigmentu.
V ceně máte také fluoridaci, která slouží k posílení zubní skloviny a její ochraně před zubním kazem. Na závěr už vám jen hygienistka poradí se správnou technikou čištěním a výběrem vhodných pomůcek. Celá návštěva nezabere více než 60 minut.